Borrar
Uno de los pacientes entrena para aprender a descifrar las señales de la cámara. University College London

Los ciegos pueden volver a leer con un chip implantado en el ojo

El dispositivo colocado debajo de la retina en menos de dos horas de operación devuelve la visión central a los pacientes con degeneración macular

Martes, 21 de octubre 2025, 13:48

Comenta

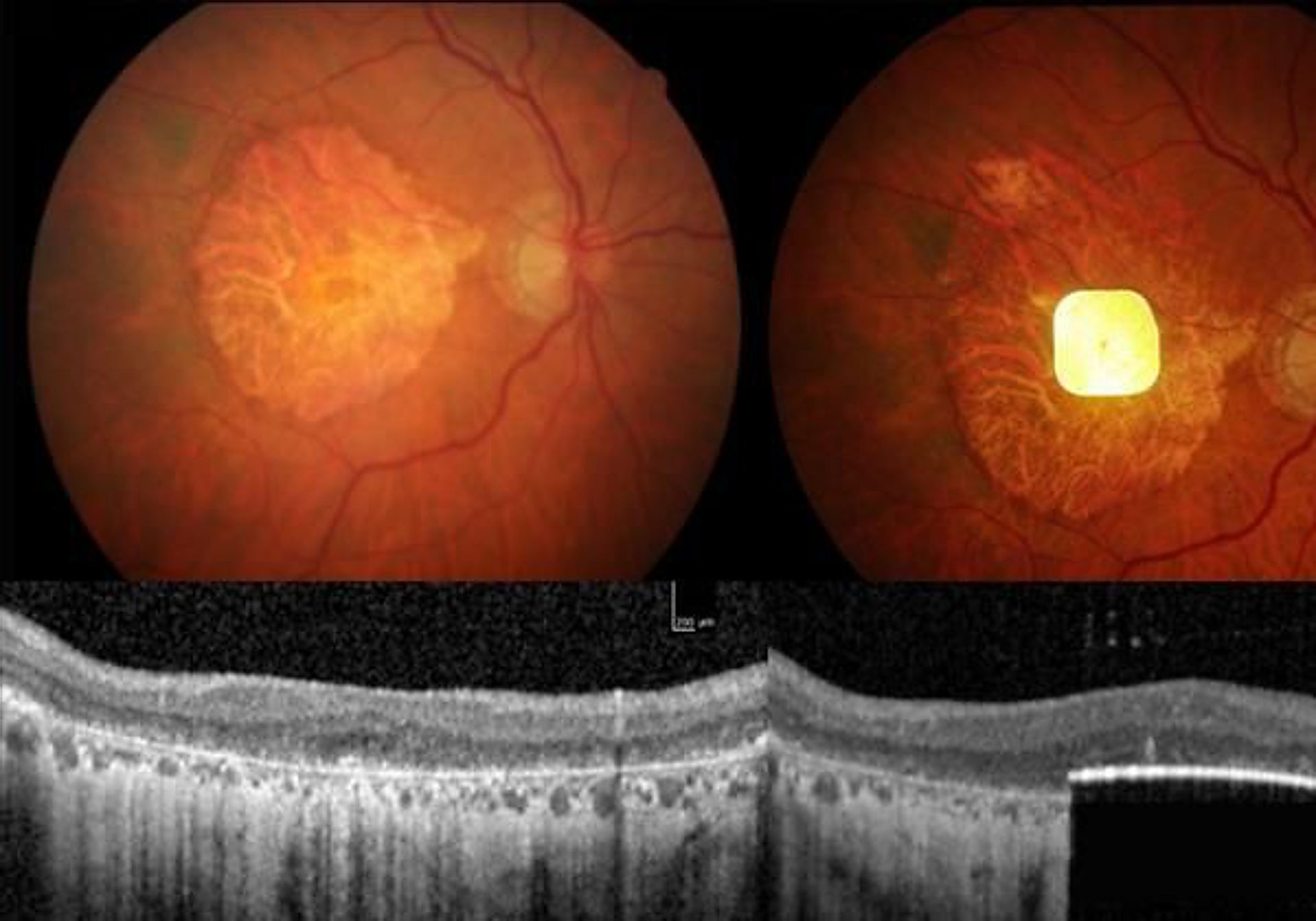
A medida que avanza la edad, algunas personas comienzan a padecer una enfermedad progresiva y sin tratamiento, llamada 'Degeneración macular atrófica' (Dmae), que les deja sin visión. Una de las actividades que pierden, y que extrañan, es la lectura. Ahora un implante electrónico les devuelve esa capacidad, según un estudio realizado por University College London y el Hospital Oftalmológico Moorfields. El chip, con forma de diminuto cuadrado de 2 x 2 milímetros, se coloca bajo la retina e interactúa con unas gafas de realidad aumentada.

Una vez ajustadas, permite que los pacientes puedan volver a leer letras, números y palabras. En un año, pudieron leer hasta cinco líneas seguidas de una tabla visual. El resultado fue positivo para el 84% de los participantes en el ensayo, realizado con una muestra de 38 personas de cinco países, que se encontraban sin visión central, aunque sí periférica, debido a la muerte de células que acaban con la mácula central del ojo.

El dispositivo llamado 'Prima' podría ayudar a unas cinco millones de personas que padecen esta degeneración ocular, sin tratamiento, según el artículo 'Implante fotovoltaico sub retiniano para restaurar la visión en atrofia geográfica debida a Dmae', publicado en The New England Journal of Medicine. Destacado como «algo que nunca antes había ocurrido», el sistema utilizado «restauró la visión central y produjo una mejora significativa de la agudeza visual desde el inicio, hasta doce meses después», indican los autores, encabezados por Frank G. Holz, investigador de la Universidad de Bonn (Alemania).

Una ventaja del dispositivo es que «cualquier cirujano especializado en la retina puede realizar la operación del chip en menos de dos horas», sostienen. «Esto es clave para que todos los pacientes ciegos puedan tener acceso a esta nueva terapia».

Para la implantación se quita primero el humor vítreo, que está entre el cristalino y la retina, y en ese lugar se coloca el chip «ultrafino. Tiene forma de tarjeta sim», describen los científicos en un comunicado. Un mes después de su inserción, con el ojo recuperado y acostumbrado a su nueva parte, se encienden las gafas multimedia, que tienen una cámara de vídeo conectada por zoom a un ordenador.

El chip implantado en el ojo. University College London

La cámara proyecta el texto con un haz de infrarrojos sobre el chip, que lo percibe y traduce mediante algoritmos y lo convierte en señal eléctrica transmitida a través de las células nerviosas del ojo hasta el cerebro. Entonces, el ciego puede ver lo que está en la pantalla. En este caso, una «escena visual».

No es, sin embargo, tan fácil volver a leer. El paciente debe pasar por un entrenamiento intensivo durante meses para aprender a interpretar las señales. Ahora, los investigadores se preparan para pasar a la fase de comercialización del invento.

Publicidad

Publicidad

Publicidad

Publicidad

Esta funcionalidad es exclusiva para suscriptores.

Reporta un error en esta noticia

* Campos obligatorios

elnortedecastilla Los ciegos pueden volver a leer con un chip implantado en el ojo

Los ciegos pueden volver a leer con un chip implantado en el ojo