Borrar
Lugar del tropiezo, fotografiados por la Policía Local, con un resalte apreciable entre las baldosas y la arqueta. SH

Una arqueta mal puesta le rompe el peroné a una mujer en Salamanca: la factura que pasa y nadie quiere asumir

La víctima estuvo casi dos meses escayolada por una fractura tras tropezar en un resalte que el consistorio califica de «insignificante»

Félix Oliva

Salamanca

Miércoles, 12 de noviembre 2025, 14:24

Comenta

El Ayuntamiento de Salamanca ha desestimado indemnizar a una mujer que reclamaba una importante cantidad de dinero tras haberse roto el peroné al tropezar en una arqueta mal puesta en la calle. El consistorio y su área jurídica se basan en que el resalte entre la calzada y la tapa de registro era «inapreciable» e «insignificante», pero que fue suficiente para causarle una fractura grave que la mantuvo dos meses escayolada y cinco de baja hasta que pudo caminar bien.

El asunto ha ido este martes a la comisión informativa municipal de régimen interior, que es donde se resuelven las frecuentes reclamaciones patrimoniales contra el Ayuntamiento de Salamanca por accidentes en calles y aceras en mal estado, tal y como comparte Salamanca Hoy.

En este caso, se trata de un tropezón que se remonta a febrero de 2023 cuando la víctima, A. Mª G. S., caminaba por la calle Padre Cámara y, a la altura del Mesón Charro, ha tropezado con un resalte en la acera. Dicho resalte se formaba en un punto donde las baldosas se unían con una tapa de registro de la luz y estaban mal enrasadas, como se puede comprobar en las fotos del acta policial. De hecho, días después la empresa del alumbrado acudió a repararla, retirando las baldosas para «rematarlas correctamente» según el recibo de la actuación.

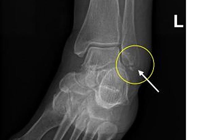
Tras caerse, la mujer tuvo que ser trasladada al Hospital de Salamanca en una ambulancia y allí se la atendió de urgencias. Salió del centro con el diagnóstico de una fractura fractura infrasindesmal en el peroné izquierdo. Se trata de una lesión grave en la zona de tendones de este hueso, ya casi en el tobillo.

Fractura que sufrió la viandante.

La víctima estuvo casi dos meses escayolada y cinco en rehabilitación, con muletas, hasta que en julio de 2023 le dieron el alta porque ya podía caminar bien. Tras lo ocurrido, presentó una reclamación por daños de 10.055 euros por los daños sufridos y las secuelas, un dolor permanente en el tobillo.

Resalte «insignificante» para el ayuntamiento

A pesar de ello, en su resolución, el Ayuntamiento de Salamanca desestima la reclamación alegando que no tenía culpa porque un tropiezo en un obstáculo de dimensiones insignificantes o visibles, entraña un daño no antijurídico que no hay que indemnizar.

En su resolución, el departamento jurídico califica el resalte donde se produjo la caída de «inapreciable» e «insignificante» y carga la culpa sobre la viandante. «Advierte que el resalte de la arqueta de alumbrado público es prácticamente inapreciable y que no tiene entidad suficiente para, en un tránsito diligente, producir tropiezos en los viandantes. Así pues, no cabe sino calificarlo como insignificante, lo que lleva a considerar que se trata de daños no antijurídicos, y no entrañan la responsabilidad patrimonial del Ayuntamiento de Salamanca», asegura.

Las fotos contradicen al ayuntamiento

Sin embargo, y como se puede apreciar en las fotos del informe policial, el resalte es apreciable y suficiente para causar una lesión que está acreditada por un parte médico del Hospital; dos meses de inmobilización y cinco de baja también acreditan la gravedad de lo ocurrido.

Pero es que, además, días después la empresa concesionaria municipal del alumbrado público acudió al lugar para reparar el encuentro entre la arqueta, que es de la luz, y las baldosas que la rodean y dejarla correctamente enrasada.

Publicidad

Publicidad

Publicidad

Publicidad

Esta funcionalidad es exclusiva para suscriptores.

Reporta un error en esta noticia

* Campos obligatorios

elnortedecastilla Una arqueta mal puesta le rompe el peroné a una mujer en Salamanca: la factura que pasa y nadie quiere asumir

Una arqueta mal puesta le rompe el peroné a una mujer en Salamanca: la factura que pasa y nadie quiere asumir